|
HDR
|
Number of fractions
|
Dose per fraction
|
Dose of external RT
|
|
Boost
|
1
|
15
|
50
|
|
Boost
|
2
|
10
|
44 - 46
|
|
Monotherapy
|
3
|
15
|
|
Galeria przypadku:
System SWIFT do brachyterapia raka gruczołu krokowego
Implantacja igieł do miąższu gruczołu krokowego pod kontrolą TRUS
Obraz igieł prowadzących, tzw. harpunów stabilizujących gruczoł krokowy
Prowadnice (igły) stalowe w miąższu gruczołu krokowego stabilizowane płytką
Prowadnice stalowe podłączone do HDR
Przygotowanie planu leczenia przy pomocy SWIFT
Obraz igieł 3D - widoczny zarys USG gruczołu krokowego (kolor czerwony)
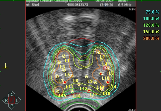
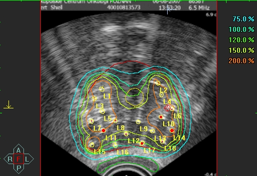
Rozkład dawki na tle zarysu USG gruczołu krokowego, widoczne izodozy, lokalizacja igieł
Histogram - rozkład dawki w objętości dla gruczołu krokowego, cewki moczowej, odbytnicy
Prowadnice (igły elastyczne) - pokazane tutaj jako przykład do porównania
Prowadnice elastyczne podłączone kablami łączącymi do HDR - jako przykład do porównania